Forum: Allgemein
Gesunde und fest sitzende Zähne geben Ihnen ein schönes und unbeschwertes Lächeln. Wir beantworten Ihnen gerne allgemeine Fragen zum Thema Zahnmedizin.
Thema:
Verschiedene Symptome - Zähne als Ursache?
Anzahl der Beiträge: 4
EineAntwortgeben Eine Fragestellen AlleForenanzeigen
erstellt: 09.02.2015 - 12:45
Hans aus SLK
Hallo an alle Leser,
ich habe nun seit mehr als 2 Jahren diverse Symptome zu denen durch diverse Untersuchungen bei Fachärzten bislang keine Ursache gefunden wurde. Jetzt möchte ich gern wissen ob evtl. meine Zähne damit zu tun haben könnten. Mit Zahnärztin bin ich zufrieden, aber sie sagt, dass sie da auch nicht mehr machen kann. Hat mir eine Überweisung gegeben mit der ich in der Uniklink war, dort wollten sie am liebsten auch gleich ziehen und Implantate reinbauen.
Habe mehrere wurzelbehandelte Zähne, am 25er sogar eine WSR. Bei diesem Zahn habe ich eigentlich schon nach der WSR (Jahre her) ein komisches Gefühl, nicht der Zahn selber sondern darüber - im Zahnfleisch bzw. von aussen unterm Wangenknochen ist er druckempfindlich. Auch mein Gaumen fühlt sich des öfteren Entzündet an, d.h. es tut weh bei wärme (Kaffee, Tee, Nahrung), gut gewürzten Speisen oder wenn ich z.B. ein Brötchen esse und die Kruste oben dran kommt.
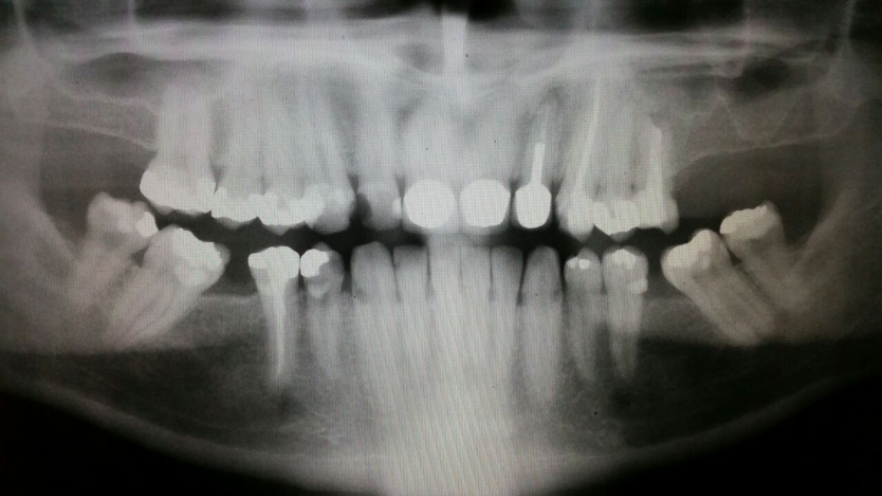
Ich hänge mal noch ein RÖNTGENBILD dran (ist knapp 1 Jahr her) und hoffe auf einen Ratschlag was ich jetzt machen kann. Danke im Voraus.
MfG Hans
erstellt: 10.02.2015 - 20:23
Sehr geehrter Hans,
lassen Sie ein Panorama-Übersichtsröntgenbild anfertigen: darauf sieht man gut, wenn und ggfs. wo es hapert. Wurzelgefüllte Zähne sollten nicht blindlings entfernt, sondern optimal revidiert werden; dies gilt auch für den angesprochenen Zahn 25. Zahnfleischtaschen sollten ebenfalls behandelt werden. Dann muß man/Sie abwarten, ob sich eine Verbesserung Ihrer Allgemeinsymptome eintritt. Wer Ihnen jedoch im vorab verspricht "...wir machen dies&das und dann verschwinden Ihre Allgemeinsymptome...", ist entweder ein genialer Hellseher oder ein Scharlatan.
Dr. Frank Püllen, MSc, MSc, Neu-Isenburg
erstellt: 11.02.2015 - 07:36
Guten Tag,
ohne Ihre Symptome zu kennen und nur aus der Sicht eines Zahnarztes betrachtet, kann man im Röntgenbild entzündliche Veränderungen an den Wurzelspitzen der wurzelbehandelten Zähne 22 und 25 erkennen. Zudem eine Anzahl kariöser Stellen, die dringend behandlungsbedürftig sind.
Um die Gefahr von Herderkrankungen auszuschließen, gibt es gute medizinische Gründe die beiden genannten Zähne links oben zu entfernen. Wie die entstehenden Lücken versorgt werden, kann an anderer Stelle diskutiert werden. Durch die Kippung der Zähne in die vorhandenen Lücken kann es auch zu funktionellen Problemen kommen, die sich durch Kopf-, Nacken- und Rückenschmerzen bemerkbar machen können.
Kurz: Es besteht dringender zahnärztlicher Handlungsbedarf,bei dem Sie auf den Rat der Kollegen vertrauen dürfen. Allerdings sollten Sie nach der Entfernung der Zähne 6- 8 Wochen warten, bevor an diese Stellen ggf. implantiert wird, damit der Körper die Entzündungen ausheilen kann.
Viel Erfolg wünscht
R. Roos
erstellt: 12.02.2015 - 10:46
Hans aus SLK
Vielen Dank an Sie beide für Ihre Antwort.
@Dr. Roos
Das Röntgenbild ist vom Mai 2014. Ich gehe meist am Anfang des Jahres zum Zahnarzt und lasse alles machen was sie dann so feststellt. Es könnte also sein, dass diverse Schadstellen von dem Bild nicht mehr aktuell sind. Eingriffe die die Zahnwurzeln betreffen wurden jedoch keine gemacht.
Die von Ihnen genannten Symptome, sind vorhanden - aber eher das geringere Übel. Viel schlimmer ist die "Benommenheit" - als wäre man so leicht angetrunken, man fühlt sich im falschen Film, Konzentrationsstörung, leichte Sehstörungen (vermehrt auf dem linken Auge), gelegentlich piepen in den Ohren (nie gleichzeitig), dann schmerzt es noch bei längerem kauen (z.B. Kaugummi) und beim lange erzählen - weis nicht ob es der Kiefer oder die Muskeln sind, es ist in Höhe des Gelenkkopfes. War damit auch schon bei diversen Fachärzten, wobei nie etwas negatives festgestellt wurde.
Wenn ich mir jetzt einen Zahnarzt suche, auf was muss ich achten? Auf welche Schwerpunkte sollte er "spezialisiert" sein?
Vielen Dank im Voraus!



