Forum: Ästhetik
Neue Werkstoffe in der Dentalmedizin bieten optimale Möglichkeiten Schönheitsfehler an Ihren Zähnen zu beheben. Wir stehen Ihnen gerne für Fragen zur Verfügung.
Thema:
Mit neuen Kronen unzufrieden
Anzahl der Beiträge: 2
EineAntwortgeben Eine Fragestellen AlleForenanzeigen
erstellt: 15.10.2017 - 00:32
Phil aus Raum Bodensee
Einst bestand meine obere Zahnreihe aus verschiedenfarbigen alten Zahnkronen unterschiedlichen Alters und aus unterschiedlichen Materialien. 1995 ließ ich sie von einem Zahnlabor in meiner Region komplett durch neue (Metallkeramik) ersetzen. Ich war sehr zufrieden mit ihnen.
A - Meine Zahnkronen von 1995 bis 2016
Nach 20 Jahren störte mich aber mehr und mehr, dass man den Kronenrand sah. Außerdem waren sie undicht und eine Quelle permanenten Mundgeruchs geworden. Daher bat ich meinen Zahnarzt Ende 2016 um eine Renovierung à la 1995. Die Arbeit übernahm das praxisinterne Zahnlabor, worauf er bestanden hatte. Sie wurden mir an Weihnachten 2016 eingesetzt, weswegen ich sie "Weihnachtskronen" nenne. Das geschah ohne vorherige Einprobe.
B - "Weihnachtskronen" des ZAs von 2016-2017
Das Ergebnis war sehr enttäuschend. Ich erstellte eine Liste aller Mängel, die von einem Gutachter bestätigt wurden, und kontaktierte eines der renommiertesten, externen Zahnlabore in der Region. Nach anfänglichem Zögern akzeptierte mein Zahnarzt die Zusammenarbeit mit dem praxisfremden Dentalspezialisten.
Die Aufgabe war dieselbe wie Ende 2016, nämlich jene Kronen von 1995 so gut wie möglich nachzubilden, jedoch ohne sichtbaren Kronenrand. Das Zahnlabor forderte in der Praxis wiederholt das alte Situmodell an, bekam es aber nicht. Als ich davon Kenntnis erlangte, äußerte ich dem Zahntechniker gegenüber meine Besorgnis, und fragte ihn, wie er, ohne den früheren Zustand meiner Zähne zu kennen, in der Lage sein wolle, die neuen Kronen so zu erstellen, dass sich bei mir das alte Bissgefühl wieder einstelle. Ich bot ihm meine Hilfe an, die darin hätte bestehen können, dass ich ihm a) weitere Fotos liefern, b) Informationen vom Labor 1995 beschaffen, c) meine alten Kronen, die ich aufbewahrt hatte, vorbeibringen würde usw. Außerdem wies ich ihn auf die Existenz eines 3-D-Scans hin, der an Weihnachten 2016 in der Zahnarztpraxis gemacht worden sei (möglicherweise nämlich das Substitut des Abdrucks).
Der Zahntechniker ging nicht auf meine Besorgnis ein noch auf mein Angebot zu weiterer Hilfe. Stattdessen teilte er mir wenige Tage später überraschenderweise mit, dass die Kronen soweit fertig seien, dass sie eingepasst werden könnten. Offenbar schien es ihm doch irgendwie gelungen zu sein, auf das alte Situmodell zu verzichten. Er schrieb, die Bilder seien ihm eine Hilfe gewesen, und das Modell hätte er nur gebraucht, um Längen und Breiten der Zähne abzumessen. Dies mache er jetzt mit seiner Erfahrung. Ich war erleichtert und freute mich.
Bald darauf bei der Einprobe äußerten sich Zahnarzt (der sich bestimmt kein zweites Mal einen Fehltritt erlauben wollte) und Zahntechniker (der die allerbesten Bewertungen im Internet hat) sehr zufrieden über ihre Arbeit. Ich zweifelte daher nicht, dass sie nach aller Kunst der Technik die größtmögliche Annährung an die Kronen von 1995 sein! Doch der Anblick im Spiegel löste zwiespältige Gefühle in mir aus: ich sah zwar eine gut ausgeführte Handarbeit, aber auch, dass sie den 1995er-Kronen nicht wirklich ähnlich waren. Waren sie nicht etwas zu lang geraten? Konnte das denn überhaupt sein? Verunsichert und vorsichtig äußerte ich Bedenken in dieser Hinsicht. Sie wurden zerstreut mit der Bemerkung, dass die Kronen noch tiefer im Zahnfleisch verschwinden, wenn sie mal richtig eingesetzt seien, und dass man außerdem noch immer etwas daran ändern könne, bevor sie endgültig bemalt und gebrannt würden.
Nochmal zum Vergleich die Kronen A seit 1995 (Zielvorgabe)
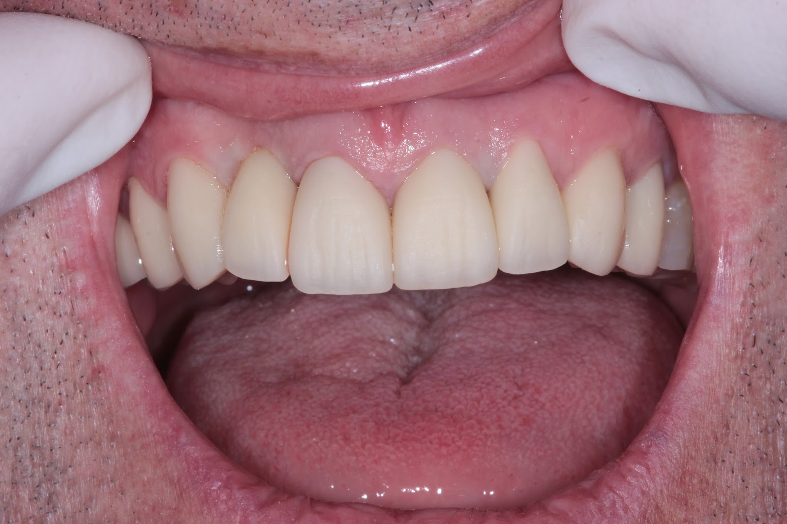
C - Meine aktuellen bei der Einprobe im Juli 2017
Dieses Angebot nahm ich wahr. Denn auf den Fotos, die der Zahntechniker bei der Einprobe von den Kronen gemacht hatte, sah ich, dass gegen meinen Wunsch die beiden vorderen Scheidezähne deutlich länger geraten waren als die übrigen eh schon langen Kronen. Als ich im Dentallabor darauf drängte, dass wenigstens sie etwas gekürzt werden, geschah das gegen den anfänglichen Widerstand des Technikers, der mich auf den Zusammenhang zwischen Zahnlänge und Jugend hinwies und dann äußerst unwillig ein bißchen an den beiden vorderen Kronen abschliff. Noch mehr abzutragen würde bedeuten, die tranluzenten Bereiche zu verlieren.
Nachdem mein Zahnarzt Tage später die fertigen Kronen einzementiert hatte, kamen mir bei der Betrachtung der Zähne im Spiegel und später beim Essen und Sprechen sehr bald massive Zweifel daran, dass die Arbeit in meinem Sinne und wie vereinbart ausgeführt wurde. Insbesondere die Länge der Zähne macht mir zu schaffen. Drei der Kronen sind auch schon abgesplittert, zwei davon störend sichtbar.
C - Meine aktuellen Kronen im Oktober 2017
Wie ich im August 2017 erfuhr, zeigt der 3-D-Scan, von dem ich glaubte, er sei ein digitales Äquivalent zum alten Situmodell, gar nicht den Zustand meiner alten Kronen, sondern den Zustand, nachdem sie entfernt worden waren. Mein Vertrauen zum Zeitpunkt der Kronenerstellung, der Zahntechniker habe vom 3-D-Scan profitieren können, war im Nachhinein betrachtet ungerechtfertigt.
Bei einem Gespräch im Oktober 2017 mit dem Zahntechniker räumte dieser zwar ein, dass meine Kronen nicht denen von 1995 entsprechen. Doch dies hätte mir wegen des fehlenden Situmodells bewußt sein müssen. Überdies hätte ich bei der Einprobe mein Einverständnis geliefert und sogar Korrekturen vornehmen lassen, wie Mitarbeiter in seinem Labor bezeugen könnten. Daher lehne er jede Verantwortung ab.
Bzgl. der Absplitterungen meinte er, dass sie nur durch Knirschen in der Nacht zu erklären seien. Weil ich aber keine Knirschschniene trüge, greife da auch keine Materialversicherung. Außerdem sei es Sache des Zahnarztes, die unteren Zähne so abzuschleifen, dass sie mit den Kronen nicht in Konflikt kommen.
Rückblick auf die Situation während der Einprobe:
Um eine Arbeit abzulehnen, die schon so weit gediehen ist, wie die Kronen bei der Einprobe, reicht es doch nicht, dass ich ein unsicheres Gefühl habe? Ich hätte meine Ablehnung irgendwie begründen müssen! Diese Grundlage kann man sich nicht erschaffen, indem man sich seine Kronen eine Minute lang im Spiegel anschaut. Die Arbeit an sich sah ja sehr gut aus. Durfte ich nicht darauf vertrauen, dass sie die größtmögliche Annäherung an die 1995er-Kronen darstellten? Wie sollte ich in der Lage gewesen sein, einem renommierten Spezialisten entgegenzuhalten, dass er unser Ziel verfehlt hat? Mein Ziel war ihm genau bekannt, und er hatte - im Gegensatz zu mir bei der Einprobe - viel Zeit und fotografische Vergleichsmöglichkeiten. Hätte ich seine "Beruhigungstablette", die Kronen würden "kürzer erscheinen, wenn sie mal richtig eingesetzt sind und tiefer im Zahnfleisch sitzen", also nicht schlucken dürfen?
Was ich als Laie sehen und beurteilen konnte, das war der relative Längenunterschied zwischen den beiden vorderen und den übrigen Zähnen, was ich später auch gegen Widerstand korrigieren ließ. Nicht erkennen konnte ich den Längenunterschied zwischen den neuen und den alten Kronen insgesamt, weil ich dafür bei der Einprobe ein Foto der alten Kronen gebraucht hätte; und selbst dann hätte ich den Worten vertrauen müssen, dass die Kronen, wenn sie mal richtig eingesetzt sind, kürzer erscheinen würden. Was ich bei der Einprobe gleichfalls nicht feststellen konnte - und was man auch jetzt nicht erkennen kann auf dem Foto, das bei der Einprobe gemacht wurde - das ist die immer noch vorhandene "Bauchigkeit" der Kronen, die ich schon bei den Weihnachtskronen deutlich bemängelt hatte.
Abschließende Fragen:
1) Weshalb wurde der Abdruck der Kronen von 1995, welcher laut mündlicher Aussage vom 11.08.2017 des Zahnarztes Ende 2016 angefertigt wurde, dem Zahntechniker nicht zur Verfügung gestellt?
2) Weshalb nimmt der Zahntechniker mein Hilfsangebot nicht an, sondern führt gegen meine Bedenken den Auftrag trotzdem aus, wenn er weiß, dass er ohne Situmodell das vereinbarte Ziel nicht erreichen kann?
erstellt: 16.10.2017 - 20:03
Guten Tag,
es steht mir nicht an, das Verfahren von Zahntechniker und Zahnarzt bei der Herstellung der neuen Konen zu kritisieren. Sicher haben sich beide weit über das Normalmaß hinaus Mühe gegeben, die Situation zu lösen. Ich möchte das Ganze auf den Kern des Problems beschränken.
Sie haben ein massives Abrasionsgebiss (von den Unterkieferfrontzähnen fehlt mindestens ein Drittel Zahnsubstanz), welches durch Parafunktionen (Pressen, Reiben, Knirschen) verursacht ist.
Wenn man nun versucht, "normale" Zahnlängen zu rekonstruieren, geraten die Kronen unter den Belastungsdruck der Unterkieferfront. Folge sind Abplatzungen der Keramik, die sich so lange fortsetzen, bis die funktionelle Zahnlänge erreicht ist oder die Kronen komplett zerbrechen. Nach meiner Meinung liegt hier ein fundamentaler Planungsfehler vor, der auch von keinem Zahntechniker kompensiert werden kann.
Es gibt aus dieser Situation nur zwei Auswege: 1. Neuanfertigung im ursprünglichen abradierten Zustand mit einer klaren Risikobeschreibung für die Folgeschäden an der Unterkieferfrontzähnen oder 2. Eine umfassende Analyse der Ursachen der Parafunktionen und eine Rückführung der Bisshöhe in ihren ursprünglichen Zustand.
Ihre Fragen können nur von den Betroffenen beantwortet werden, im Zweifelsfall können Sie über ein Gutachten eine Klärung der Situation erreichen und die Kosten für eine erneute Anfertigung der Kronen in Grenzen halten.
Viel Erfolg wünscht
R. Roos


